Broken Shoulder or Broken Puzzle
making sense of big changes
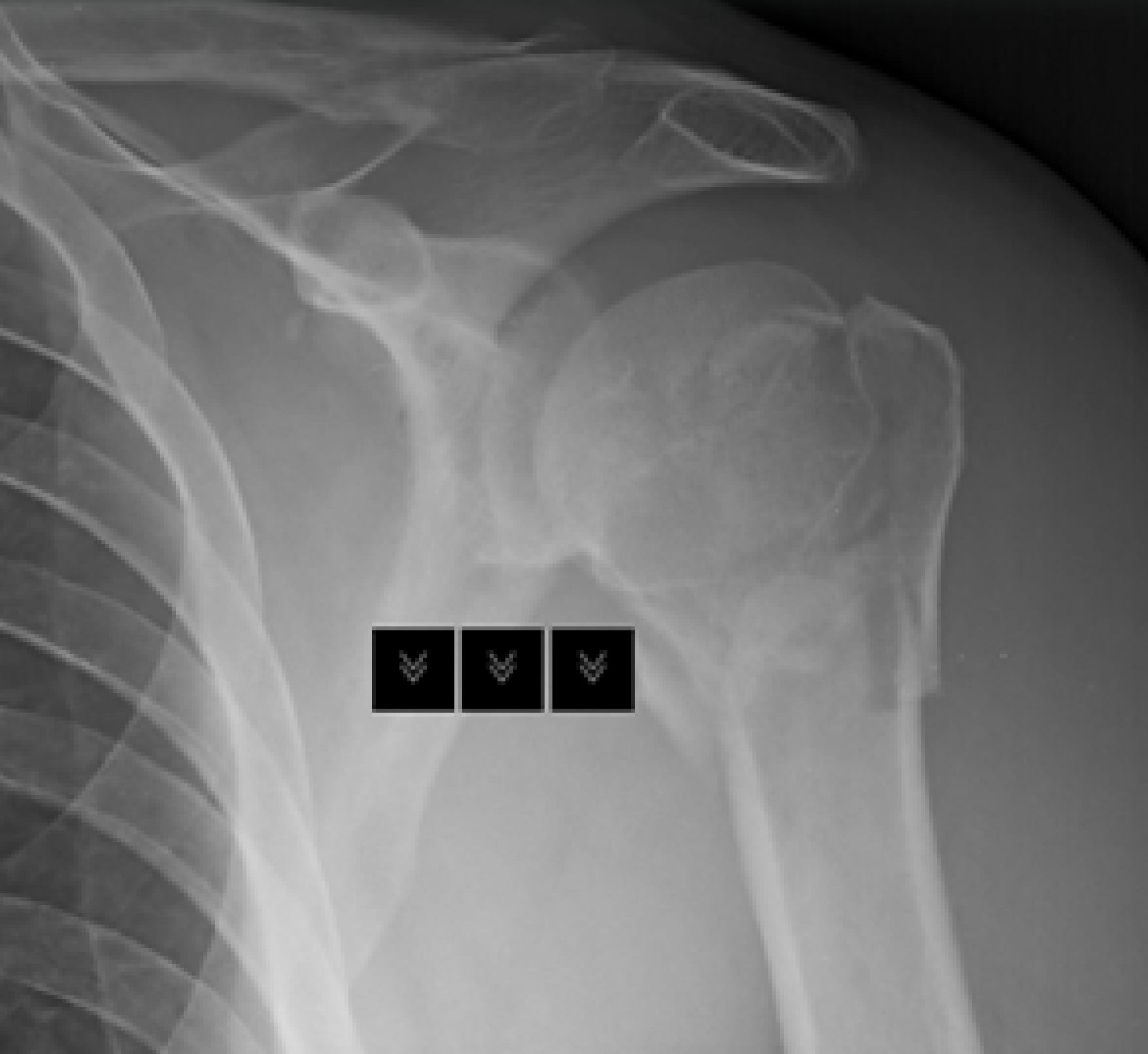
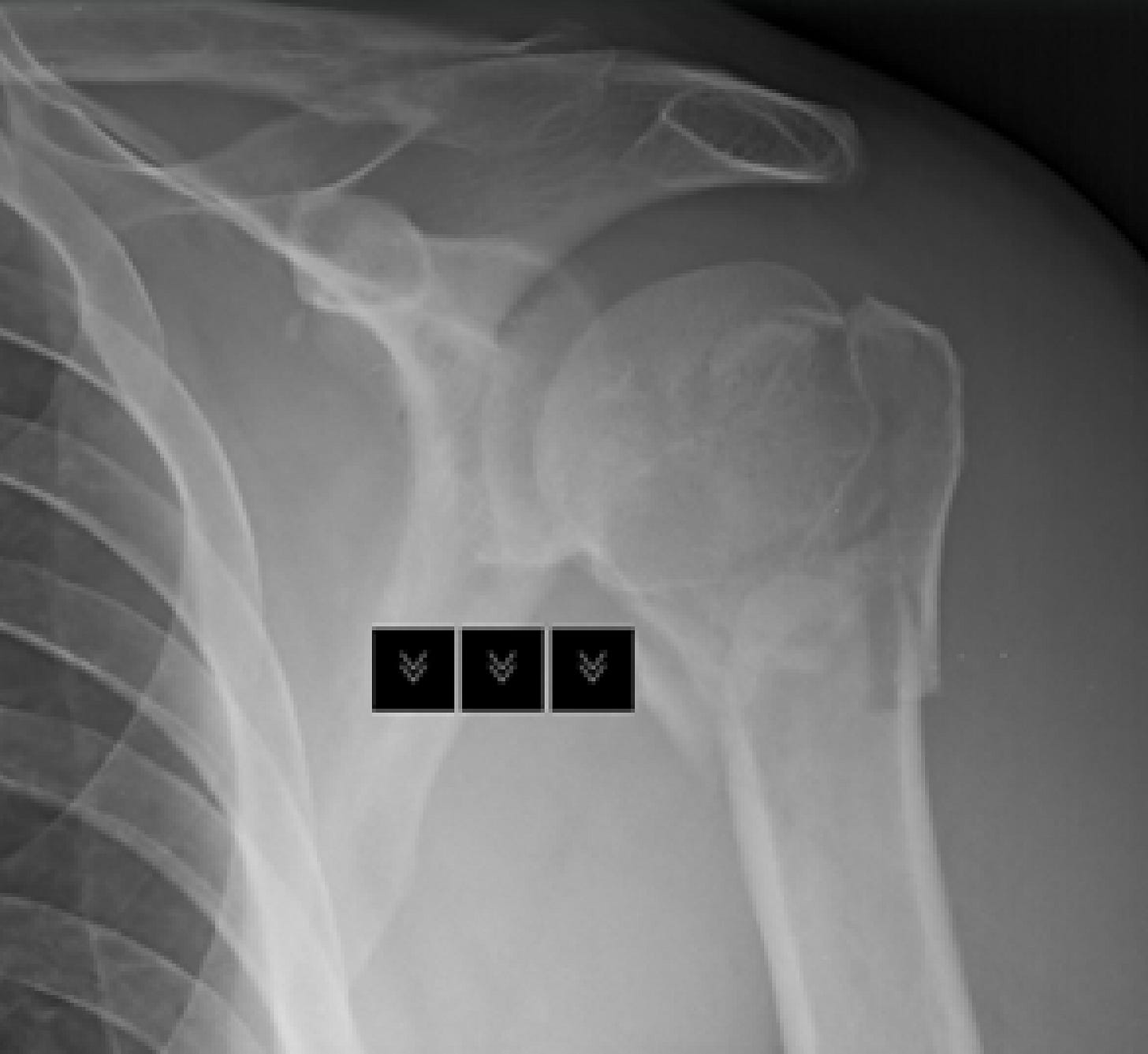
I love life and in between lazy stints on my bean bags watching trash I try to get the most out of it. I shattered my humeral head (shoulder) a bit under four weeks ago. Diving in my pool as I’d done for eight years. Entered water wrong, wrist that normally absorbs downward energy slips, elbow hit bottom, shoulder shattered.
I have been laid up for four weeks. Worst pain of my life and I’ve done some very painful things. I’m just now able to type without causing pain. All of my plans for the last four weeks gone. Most of my plans for the next three to six months gone. I’m told by humans and AI it’s a SIX TO TWELVE (6-12) MONTH recovery.
Intense. The other day someone asked me “So, does this accident make you realize maybe you’re too old for that kind of activity?”
“absolutely not!” I blurted out.
I don’t think I’ll ever be “too old” for intensity, I hope I’m living life to the fullest until my very last breath (or upload to the borg). But I’m old enough to know that intensity comes with a price.
The same brain circuits that bring luck, adventure, connection, and aliveness can also bring damage, depression, obsession, paranoia, and puzzle misalignment. I was having a blast one moment, the next unable to move without gasp-inducing pain.
And the consequence of that is a complete change of Puzzle orientation. All the same things are important to me, but the activities/pathways available to me are completely different. My Puzzle isn’t broken, but the pieces I need to use are very different.
I don’t believe the work is to do less-risky things, which feels like becoming more boring. The work is to apply resiliency and realign around the same vision with a different path. It’s been hard. The emotional roller coaster of forcing myself to not do anything is extreme. You can’t truly immobilize a shoulder so all movement aggravates it. I had so many plans - landscaping, health optimization, pushing business forward with a focus on operations and efficiency - that it seems like are at the best put off…at the worst derailed.
But a review of my Puzzle Vision reveals that nothing has really changed. How I impact those things has. I can still apply presence to all things:
My health optimization is recovery and maintenance instead of gains
I can still work on landscaping, but by tending, not planting
Business can be pushed forward from my bean bag - I’m working a lot on finance and sales
I’m not defending recklessness and I don’t believe I’ve ever been that. I’m defending vitality. People used to say I was an adrenaline junkie. But it has never felt that way. I have never needed intoxication or ‘more, more, more.’ I just have always LOVED losing myself in the moment. I’ve always sought presence and eventually learned how to harness and practice it.


